Request Appointment
1866a Reisterstown Rd, Pikesville, MD 21208
(410) 650-4350
Our Office
1866a Reisterstown Rd
Pikesville
,
MD
21208
(410) 650-4350
Office Hours
Monday
8:00 am - 5:00 pm
Tuesday
8:00 am - 5:00 pm
Wednesday
8:00 am - 5:00 pm
Thursday
8:00 am - 5:00 pm
Friday
8:00 am - 4:00 pm
Saturday
Closed
Sunday
Closed
Visit Us Online
About
Our Doctor
Meet the Team
Reviews
Before & Afters
Patient Info
Overview
Initial Visit
Financial Policy
Dental Insurance
Gum Treatment
Initial Periodontal Exam
Scaling and Root Planing
Causes of Periodontal Disease
Types of Periodontal Disease
Treatment of Periodontal Disease
Treatment of Gum Recession
Dental Implants
About Dental Implants
Dental Implants
Single Dental Implant
Multiple Teeth Implants
Same-Day-Smile
Sinus Augmentation
Pocket Elimination Osseous Surgery
Full Arch Implants
Crown Lengthening
Soft Tissue Grafts
Bone Grafting
Continuing Education
Past CE Events
Future CE Events
Webinars
Contact Us
Appointments
Referring Doctors
Before & After Smile Gallery
Implant Supported Denture
Implant Bridge
Cosmetic Crown Lengthening
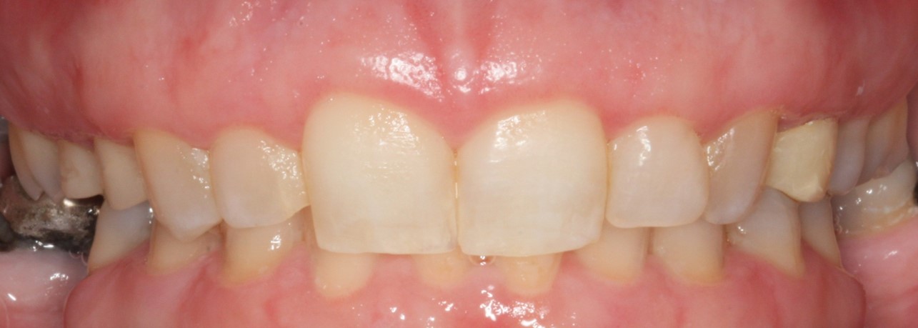
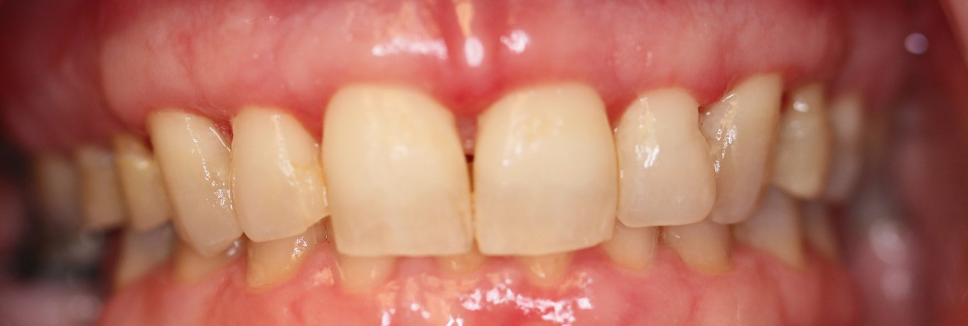
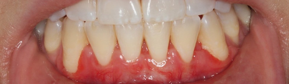
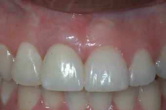
Treatment of Gum Recession
Same-Day Smile Dental Implants
Single Implant Replacement
Our Office
1866a Reisterstown Rd
Pikesville
,
MD
21208
(410) 650-4350
Office Hours
Monday
8:00 am - 5:00 pm
Tuesday
8:00 am - 5:00 pm
Wednesday
8:00 am - 5:00 pm
Thursday
8:00 am - 5:00 pm
Friday
8:00 am - 4:00 pm
Saturday
Closed
Sunday
Closed
Visit Us Online
(410) 650-4350
© 2026 Maryland Center for Periodontics and Dental Implants. All Rights Reserved. |
Accessibility Policy
Dental Marketing
Pikesville Periodontist | Periodontist in Pikesville | Dental Implants Pikesville
Book Your Appointment Online!
Book Now